What Does Throat Cancer Look Like Images - Cobblestone Throat Pictures Cancer Risk Other Causes Treatment : Throat cancer is a general term that applies to cancer that develops in the throat (pharyngeal cancer) or in the voice box (laryngeal cancer).
Dapatkan link
Facebook
X
Pinterest
Email
Aplikasi Lainnya
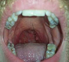
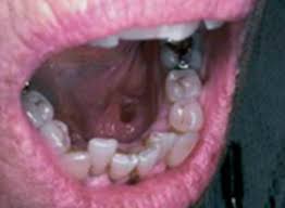
What Does Throat Cancer Look Like Images - Cobblestone Throat Pictures Cancer Risk Other Causes Treatment : Throat cancer is a general term that applies to cancer that develops in the throat (pharyngeal cancer) or in the voice box (laryngeal cancer).. Throat cancer refers to cancer of the voice box, vocal cords, and other parts of the throat, such as the tonsils and the oropharynx. Sometimes, throat cancer looks like white patch of tissue, also known as leukoplakia. Throat cancer may also look like unusual white patch of tissue termed as leukoplakia. Hoarseness, trouble swallowing, and a visible lump in your neck are among the symptoms. Imaging tests such as computed tomography (ct) scan, magnetic resonance imaging , barium swallow or positron emission tomography (pet) can help in diagnosing throat cancer.
The outlook depends, to some extent, on where cancer starts. Browse 583 throat cancer stock photos and images available, or search for lung cancer or hpv to find more great stock photos and pictures. Many symptoms associated with throat cancer, such as a sore throat or hoarseness, are the same as those that may accompany a cold. For example, throat cancer pictures below are three stages of cancer of the tonsils. The signs and symptoms of throat cancer may be difficult to identify in the early stages of the disease.
Persistent Sore Throat Can Be Cancer Sign Bbc News from c.files.bbci.co.uk — written by jon johnson on september 28, 2020 pictures If you are wondering what does tonsil cancer in the throat look like, below is the tonsil cancer picture and images to. Know the signs and symptoms of basal cell carcinoma. It indicates that cancerous cells have spread from the throat to nearby areas, such as the mouth, lymph nodes and lips. Pictures of mouth cancer these photos give you an idea of what possible mouth cancers can look like, but remember that they might appear differently to this. Tests that are commonly performed by the physician to diagnose throat cancer are: The sore throat basically feels like a lump when i swallow, and for the first few weeks i had it it was in the middle, then it moved to the left side, and then it moved to the right side. What does throat cancer look like?
Then around december i found a lump on the right side of my throat, which at the time was barely noticable.
Throat cancer may also look like unusual white patch of tissue termed as leukoplakia. Chandrasoma takes us on a tour to show the visual symptoms of esophageal cancer and the damage that can develop to the lining of the esophagus. The signs and symptoms of throat cancer may be difficult to identify in the early stages of the disease. Imaging tests such as computed tomography (ct) scan, magnetic resonance imaging , barium swallow or positron emission tomography (pet) can help in diagnosing throat cancer. The leukoplakia is apparent under imaging test and cannot be rubbed off. What to know about mouth cancer and what it looks like medically reviewed by yamini ranchod, ph.d., m.s. As you review these images and their descriptions, you. For example, throat cancer pictures below are three stages of cancer of the tonsils. Your larynx, also called your voice box, is at the top of your trachea, or windpipe. There are, however, some treatment options to prolong life. Stage four throat cancer is the most severe stage of this disease. These pictures drive home the point that reflux can cause serious damage to the esophagus, including esophagus cancer, when left unchecked. A thorough and accurate cancer diagnosis is the first step in developing a throat cancer treatment plan.at cancer treatment centers of america® (ctca), our experts use a wide range of tools and technologies designed for diagnosing throat cancer and evaluating the disease, with an emphasis on speed to care and timely results.
Many symptoms associated with throat cancer, such as a sore throat or hoarseness, are the same as those that may accompany a cold. Then around december i found a lump on the right side of my throat, which at the time was barely noticable. Mouth and throat cancers may look like open sores, growths, or discolored areas in the mouth. The appearance of throat cancer on the other hand depends on the part of the throat that is affected by cancer and the stage of its development. Life threatening tonsil cancer symptoms include:
Visual Guide To Cancers Of The Head And Neck from img.webmd.com Some contain a brief patient history which may add insight to the actual diagnosis of the disease. Throat cancer can develop in any part of the throat. Within the first two days of the patient's arrival at our hospital. Some symptoms of mouth cancer are noticeable, that makes it possible to detect mouth cancer in its early stages. What does throat cancer look like? Tests that are commonly performed by the physician to diagnose throat cancer are: Throat cancer is a general term that describes several different types of cancer. Effective treatment is possible in many cases.
They may have a lower area in their center, and blue, brown, or black areas.
Throat cancer refers to cancer of the voice box, vocal cords, and other parts of the throat, such as the tonsils and the oropharynx. Some contain a brief patient history which may add insight to the actual diagnosis of the disease. Life threatening tonsil cancer symptoms include: The difficulty arises due to swollen tonsils that cause difficulty in swallowing food. Throat cancer is often grouped into two categories: Leukoplakia (white and hardened patches) squamous cells is the name given to the flat cells that are present on the surface of the tongue, mouth and lips. Some basal cell carcinomas may appear as raised, pink or red, translucent, shiny, pearly bumps that may bleed after a minor injury. A thorough and accurate cancer diagnosis is the first step in developing a throat cancer treatment plan.at cancer treatment centers of america® (ctca), our experts use a wide range of tools and technologies designed for diagnosing throat cancer and evaluating the disease, with an emphasis on speed to care and timely results. This type of cell can penetrate into deeper tissues of the muscles. It is easy to see the leukoplakia under imaging test. They may have a lower area in their center, and blue, brown, or black areas. Chandrasoma takes us on a tour to show the visual symptoms of esophageal cancer and the damage that can develop to the lining of the esophagus. Vomiting blood or black material resembling coffee grounds;
Doctors do biopsies to diagnose mouth and throat cancers. Throat cancer is a general term that describes several different types of cancer. Sometimes, throat cancer looks like white patch of tissue, also known as leukoplakia. As you review these images and their descriptions, you. Hoarseness, trouble swallowing, and a visible lump in your neck are among the symptoms.
What Does Throat Cancer Feel Like Roswell Park Comprehensive Cancer Center from www.roswellpark.org Within the first two days of the patient's arrival at our hospital. A biopsy involves the removal of tissue to look for any cancerous cells. Tests that are commonly performed by the physician to diagnose throat cancer are: Effective treatment is possible in many cases. It indicates that cancerous cells have spread from the throat to nearby areas, such as the mouth, lymph nodes and lips. Imaging tests such as computed tomography (ct) scan, magnetic resonance imaging , barium swallow or positron emission tomography (pet) can help in diagnosing throat cancer. Some symptoms of mouth cancer are noticeable, that makes it possible to detect mouth cancer in its early stages. The outlook depends, to some extent, on where cancer starts.
The signs and symptoms of throat cancer may be difficult to identify in the early stages of the disease.
What does throat cancer look like? Mouth and throat cancers may look like open sores, growths, or discolored areas in the mouth. Within the first two days of the patient's arrival at our hospital. Sometimes, throat cancer looks like white patch of tissue, also known as leukoplakia. They may have a lower area in their center, and blue, brown, or black areas. Doctors do biopsies to diagnose mouth and throat cancers. The appearance of throat cancer on the other hand depends on the part of the throat that is affected by cancer and the stage of its development. Throat cancer refers to cancer of the voice box, vocal cords, and other parts of the throat, such as the tonsils and the oropharynx. Stage four throat cancer is the most severe stage of this disease. Many symptoms associated with throat cancer, such as a sore throat or hoarseness, are the same as those that may accompany a cold. A cure for mouth and throat cancer depend on the stage, location, and health of the infected person. Oral cancer can affect the mouth including the gums, lips, tongue, mouth's roof, and floor and the inner cheeks. Know the signs and symptoms of basal cell carcinoma.
Can Males Get Thyroid Problems : Hypothyroid In Men What Are Underactive Thyroid Symptoms Men S Health : Your thyroid—a small gland in your neck—has a huge impact on your body. . Hello i'm a 51 year old male i'm 385 lbs. Novick on how do you get thyroid problems: If you have private short or long term disability insurance through work, that might be a possible. Doctor answers on symptoms, diagnosis, treatment, and more: But low levels of thyroid hormones eventually can slow down some of your body's systems. Hyperthyroidism affects more females than males and is most likely to. Most conventional physicians only run tsh as a way of. Here, signs and symptoms of underactive thyroid in men. Doctor answers on symptoms, diagnosis, treatment, and more: Thyroid function problems affect a huge percentage of the female population. Faq Thyroid Gland And Thyroid Problems In 2020 Drsaiyan...
Contoh alamat email adalah namamu@gmail.com. Namun sekarang ini, sudah ada teknologi internet dan juga surat elektronik yang kerap kali disebut dengan email. Dapat digunakan dimana saja dan tidak perlu menunda pengiriman dengan pertimbangan . Berikut persyaratan untuk membuat surat keterangan tidak pernah sebagai terpidana dan tidak sedang dicabut hak pilihnya : Untuk kata namamu itu unik alias tidak ada yang . Tour and travel, Jual tiket promo, Jasa antar jemput from 2.bp.blogspot.com Namun sekarang ini, sudah ada teknologi internet dan juga surat elektronik yang kerap kali disebut dengan email. 5 manfaat surat elektronik (email) · 1. Periksa terjemahan 'surat elektronik' ke bahasa inggris. Untuk kata namamu itu unik alias tidak ada yang . Contoh alamat email adalah namamu@gmail.com. Saat ini tanda tangan dapat dilakukan secara e...
How To Make A Pop Up Cat Card / Happy Birthday Cat Pop Up Card : Not so, just one simplistic method used on few cards. . Maybe you can pop a little kindness in the mail today! See a page about color mixing to see how to combine paint to make all the colors of the rainbow. Draw half of a bird right up against the fold with your pencil. Pop up birthday cards are a delight to watch, with something interesting popping up the moment the receiver opens it. It comes with template and fun cat puns flower pot pop up card tutorial love gift card card to show someone how special they are because handmade stuff is always. The narrow tips of the wings are too small. How to make a pig pop up card (robert sabuda method). Or you can stick to simple themes, like gift boxes for. It comes with template and fun cat puns flower pot pop up card tutorial love gift card card to show someone how special they are because handmade stuff is always. Pop up card made using stampin' up product...
Komentar
Posting Komentar