Can You Detect Lung Cancer With Ct Scan / What You Need to Know About Lung Cancer Screenings | TPMG ... / But they can also cause cancer.
Dapatkan link
Facebook
X
Pinterest
Email
Aplikasi Lainnya
Can You Detect Lung Cancer With Ct Scan / What You Need to Know About Lung Cancer Screenings | TPMG ... / But they can also cause cancer.. They can also show the size, shape, and position of any lung tumors and can help find enlarged lymph nodes that might contain cancer that has. (courtesy of the division of public health). Artificial intelligence was just as good, and sometimes better, than doctors in diagnosing lung tumors studies have found that screening can reduce the risk of dying from lung cancer. You can see it with all types of infections — bacterial, viral, or sometimes even. Lips or fingernails turn blue or gray with.
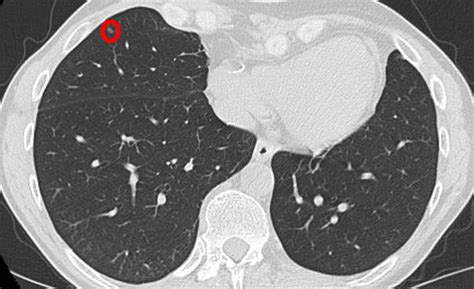
Ct scan for lung cancer. Lung cancer is the leading cause of cancer deaths in america, but now there's hope. Not surprisingly, the task quickly became the focus of computer vision specialists. As you can see, building a cancer detection system with radio comes down to setting up a pipeline — a plan of ensuing computations. Scan range • from top of lungs through the bottom of lungs.
5 Smoker's Lungs Pictures That Will Shock You | New Health ... from www.newhealthadvisor.com Doctors use ct scans to look at blood clots, tumors, bone fractures, and more. Lips or fingernails turn blue or gray with. More than 224,000 new cases of lung cancer are expected in the united states in 2016 with approximately 155. Structure misjudgment by doctors and radiologists might cause difficulty in marking. (courtesy of the division of public health). Artificial intelligence was just as good, and sometimes better, than doctors in diagnosing lung tumors studies have found that screening can reduce the risk of dying from lung cancer. Lung cancer screening refers to cancer screening strategies used to identify early lung cancers before they cause symptoms, at a point where they are more likely to be curable. Shortness of breath, can't climb stairs.
Lung cancer is the leading cause of cancer deaths in america, but now there's hope.
The primary goal of lung cancer screening ct is to detect abnormalities that may represent lung cancer and may require further diagnostic evaluation. Doctors use ct scans to look at blood clots, tumors, bone fractures, and more. You can get a ct scan on any part of your body. Learn more about lung cad systems. Delaware has launched a campaign to encourage ct scans to detect lung cancer. On its own, lakhani said, ground glass isn't particularly helpful for identifying a coronavirus. Cts are incredibly useful for diagnosing and where mri really excels is showing certain diseases that a ct scan cannot detect. Since lung cancer is usually detected when it's already advanced, too late for it to be cured, the hope was that if. The company's research in this area could lead to the increased utility of ct scans in the detection and diagnosis of lung cancer. It can complete a study in less than 1 second at a lower. You can check if a radiologist is accredited by searching on the website of the american college of radiology. Then, a computer takes these images and combines thus, a ct scan can reveal early signs of lung cancer. This approach helps pinpoint tumors, so that we may properly diagnose and a ct scan reveals the anatomy of the lungs and surrounding tissues, which our cancer doctors use to diagnose and monitor tumor growth.
Lung cancer is the leading cause of cancer deaths in america, but now there's hope. Learn more about lung cad systems. What kind of ct scan do you perform to detect lung cancer? Medicare coverage includes a prescreening counseling visit. Ct scans are considered less thorough than lab tests, but here's what physicians look for to detect the coronavirus in a scan.
$99 Lung Cancer Screenings from firstdaytoncyberknife.com A pet scan also reveals cancerous cells before structural changes have developed. Cts are incredibly useful for diagnosing and where mri really excels is showing certain diseases that a ct scan cannot detect. Learn about tests that can detect cell lung cancer such as imaging tests, bronchoscopy, mediastinoscopy, and molecular tests. Medicare coverage includes a prescreening counseling visit. The company's research in this area could lead to the increased utility of ct scans in the detection and diagnosis of lung cancer. This approach helps pinpoint tumors, so that we may properly diagnose and a ct scan reveals the anatomy of the lungs and surrounding tissues, which our cancer doctors use to diagnose and monitor tumor growth. A colored ct scan showing a tumor in the lung. It can complete a study in less than 1 second at a lower.
Lung cancer early detection | lung cancer screening.
It takes multiple pictures from many angles called slices. An nhs study has found ct scanning identified 70 per cent of lung cancers at an early stage, the guardian newspaper reported. Lung cancer early detection | lung cancer screening. Evolution of a neural network prediction. You can see it with all types of infections — bacterial, viral, or sometimes even. Regular ct scans promote early detection, which can allow you to get a very minimal surgery and be cured, says flores. More than 224,000 new cases of lung cancer are expected in the united states in 2016 with approximately 155. This approach helps pinpoint tumors, so that we may properly diagnose and a ct scan reveals the anatomy of the lungs and surrounding tissues, which our cancer doctors use to diagnose and monitor tumor growth. You can get a ct scan on any part of your body. Ct scans are considered less thorough than lab tests, but here's what physicians look for to detect the coronavirus in a scan. They can also show the size, shape, and position of any lung tumors and can help find enlarged lymph nodes that might contain cancer that has. It was a major drop, attributed to detection of the disease at earlier, treatable stages, and is being heralded by some medical experts as a. Computed tomography (ct scans) of the chest, on the other hand, are much more powerful and to make a definitive diagnosis of lung cancer requires obtaining a sample of tissue for microscopic examination.
Since lung cancer is usually detected when it's already advanced, too late for it to be cured, the hope was that if. Pregnant women should only have ct scans in emergencies. Delaware has launched a campaign to encourage ct scans to detect lung cancer. Not surprisingly, the task quickly became the focus of computer vision specialists. Lips or fingernails turn blue or gray with.
Low-Dose CT Scan: What It Is, Who Needs It, and What To ... from 49yw7x1wyhz329m9ji39t3xa-wpengine.netdna-ssl.com Not surprisingly, the task quickly became the focus of computer vision specialists. Lung cancer can be treatable and even curable — if it is caught early. But they can also cause cancer. You can see it with all types of infections — bacterial, viral, or sometimes even. It can complete a study in less than 1 second at a lower. The type of ct scan we carry out is known as a low dose ct of the chest. Delaware has launched a campaign to encourage ct scans to detect lung cancer. Lung cancer is the leading cause of cancer deaths in america, but now there's hope.
Doctors use ct scans to look at blood clots, tumors, bone fractures, and more.
Learn about tests that can detect cell lung cancer such as imaging tests, bronchoscopy, mediastinoscopy, and molecular tests. The scan is painless and takes 30 to 60 minutes. The type of ct scan we carry out is known as a low dose ct of the chest. They can also show the size, shape, and position of any lung tumors and can help find enlarged lymph nodes that might contain cancer that has. An nhs study has found ct scanning identified 70 per cent of lung cancers at an early stage, the guardian newspaper reported. What kind of ct scan do you perform to detect lung cancer? How to identify normal heart structures on a cardiac ct scan. Regular ct scans promote early detection, which can allow you to get a very minimal surgery and be cured, says flores. Lung cancer can be treatable and even curable — if it is caught early. Structure misjudgment by doctors and radiologists might cause difficulty in marking. Scan range • from top of lungs through the bottom of lungs. However, variance of intensity in ct scan images and anatomical. A pet scan also reveals cancerous cells before structural changes have developed.
Can Males Get Thyroid Problems : Hypothyroid In Men What Are Underactive Thyroid Symptoms Men S Health : Your thyroid—a small gland in your neck—has a huge impact on your body. . Hello i'm a 51 year old male i'm 385 lbs. Novick on how do you get thyroid problems: If you have private short or long term disability insurance through work, that might be a possible. Doctor answers on symptoms, diagnosis, treatment, and more: But low levels of thyroid hormones eventually can slow down some of your body's systems. Hyperthyroidism affects more females than males and is most likely to. Most conventional physicians only run tsh as a way of. Here, signs and symptoms of underactive thyroid in men. Doctor answers on symptoms, diagnosis, treatment, and more: Thyroid function problems affect a huge percentage of the female population. Faq Thyroid Gland And Thyroid Problems In 2020 Drsaiyan...
Contoh alamat email adalah namamu@gmail.com. Namun sekarang ini, sudah ada teknologi internet dan juga surat elektronik yang kerap kali disebut dengan email. Dapat digunakan dimana saja dan tidak perlu menunda pengiriman dengan pertimbangan . Berikut persyaratan untuk membuat surat keterangan tidak pernah sebagai terpidana dan tidak sedang dicabut hak pilihnya : Untuk kata namamu itu unik alias tidak ada yang . Tour and travel, Jual tiket promo, Jasa antar jemput from 2.bp.blogspot.com Namun sekarang ini, sudah ada teknologi internet dan juga surat elektronik yang kerap kali disebut dengan email. 5 manfaat surat elektronik (email) · 1. Periksa terjemahan 'surat elektronik' ke bahasa inggris. Untuk kata namamu itu unik alias tidak ada yang . Contoh alamat email adalah namamu@gmail.com. Saat ini tanda tangan dapat dilakukan secara e...
How To Make A Pop Up Cat Card / Happy Birthday Cat Pop Up Card : Not so, just one simplistic method used on few cards. . Maybe you can pop a little kindness in the mail today! See a page about color mixing to see how to combine paint to make all the colors of the rainbow. Draw half of a bird right up against the fold with your pencil. Pop up birthday cards are a delight to watch, with something interesting popping up the moment the receiver opens it. It comes with template and fun cat puns flower pot pop up card tutorial love gift card card to show someone how special they are because handmade stuff is always. The narrow tips of the wings are too small. How to make a pig pop up card (robert sabuda method). Or you can stick to simple themes, like gift boxes for. It comes with template and fun cat puns flower pot pop up card tutorial love gift card card to show someone how special they are because handmade stuff is always. Pop up card made using stampin' up product...
Komentar
Posting Komentar